審美歯科
審美歯科治療により、健康で美しい口元や笑顔を手に入れ、その美しさを保つことでより豊かな人生を送っていただくことを目指します。
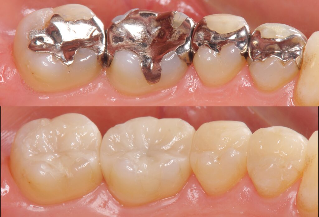
きれいな歯で、最高の笑顔を。

当院の審美歯科について

自信が持てるキレイな歯で 皆様の人生と口元が少しでも明るくなるよう 丁寧な対応と治療を行ってまいります
審美歯科とは、歯の形、色や歯並び、口元の表情などの美しさを追求する治療です。 当医院では、選択肢の一つとして自費診療のご提案をさせて頂いております。 歯列矯正やホワイトニングも審美歯科になりますが、ここではかぶせものやつめものにセラミックという材料を使用し、見た目を美しくする治療について説明します。
セラミックとは

透明感のある自然な白さを実現可能
セラミックは審美性の高い素材です。 ただ白いだけでなく、天然歯のような透明感を再現できるのが特徴です。
まわりの歯に合わせて色味や形を調節できるのもセラミックの優れている点です。
歯の色や形は一人ひとり違います。ただ白ければいいというわけではありません。
色、大きさ、形を調整しながら、どの部分を治療したかわからないほど周囲に馴染む歯に仕上げます。
長期間使用しても変色せず美しい歯を保てる
セラミックは、お皿などの陶器に使用される素材で、水分を吸収することもなく、熱によって変形することもありません。高温多湿なお口の中でも、成分が溶け出すようなことはありません。
長期間使用しても変色することなく、白さをキープできるのはセラミックの優れている点です。
時間の経過とともに劣化し、変色するケースが多い金属やプラスチックと比較すると、変色も変形もしにくいセラミックは耐久性の高い素材といえます。
細菌が付着しにくく衛生的で虫歯が再発しにくい
セラミックは表面がツルツルしているので、汚れやプラークが付きにくく衛生面でも優れています。
金属やプラスチックは表面が粗く、小さな凹凸があるため汚れや色素が付着しやすくなり、虫歯や歯周病の原因となります。
セラミックの修復物は、金属やプラスチックに比べ汚れやプラークが付きにくいため、虫歯や歯周病のリスクを下げることができます。
錆びたり、アレルギーがなく歯肉に色がつかない
セラミックは生体親和性が高く、身体にやさしい素材といわれています。金属を使わないので、金属アレルギーをお持ちの方にも安心して使っていただけます。お口の中には、常にだ液などの水分がありますので、金属はさびやすく、アレルギーを起こしやすい状態にあるのです。
また、金属を使った詰め物や被せ物を長年使っていると、歯ぐきの一部が黒くなることがあります。金属が錆びてお口の中に溶け出すことで金属が歯ぐきに浸透し、黒く変色させるのが原因です。
セラミックはこういったリスクのある金属をいっさい使いません。
セラミック治療で様々なお悩みを解決できます
✔︎ 前歯の形が気になる
✔︎ すきっ歯を改善したい
✔︎ 口をあけた時に目立つ銀歯をなくしたい
✔︎ 金属アレルギーが気になる
✔︎ 黄ばんだ歯を白くしたい
✔︎ 詰め物や被せ物が変色していて気になる
✔︎ 歯ぐきの黒ずみが目立つ
✔︎ 歯並びを整えたいけど痛い矯正治療はしたくない
これらのお悩みは、すべてセラミック治療で解決できます。
目立つ前歯には審美性の高いものを、奥歯には強度を重視した素材を使うなど治療する場所に応じて素材を選べるのもセラミック治療の特徴です。
ご予算やご要望に応じて、お一人おひとりに適した治療計画をご提案します。
セラミック治療の費用
ご自身の大切な歯を守るためにも、セラミック治療をおすすめします

歯科医師がセラミック治療をおすすめする理由は、見た目の美しさはもちろんですが、機能面で優れている素材だからです。 保険適用外の素材ですので、どうしても費用はかかってしまいますが、長期的に見ると、じつはコストパフォーマンスの良い素材なのです。
セラミックを使用することは、虫歯の再発予防に効果があります。虫歯になる度に被せ物を取って、さらに歯を削り、また被せ物をする。そんなことを繰り返しているうちに歯はどんどんやせ細り、最終的に歯を失うことになります。 歯を失うと、入れ歯やインプラントで補うことになります。度重なる虫歯の治療費と義歯装着にかかる費用の方が高くなる可能性があるのです。 一度失った歯は元には戻りません。どんなにすぐれた人工歯でも、ご自身の歯にかなうものはないのです。ご自身の歯を一本でも多く残すためには、虫歯にならない、再発しない素材を選ぶことが大切です。 また、セラミックは天然歯と同じくらいの硬さで製作されているので、摩耗に強く、噛み合う歯を傷つけません。ご自身の大切な歯を守るためにも、セラミック治療をおすすめしています。
セラミック治療は、お口の中だけでなく、身体全体の健康面でもメリットの多い治療です。 もちろんデメリットといわれる点も。お皿を落としたら割れてしまうように、非常に強い力がかかると割れたり破損したりすることもあります。激しい歯ぎしりが習慣になっている方や食いしばりの力が強い方には、セラミック以外の治療をおすすめすることもあります。 メリットだけでなくデメリットも丁寧にご説明しますので、セラミック治療に興味のある方は当院までお越しください。

