歯周病治療
「歯周病」という言葉は知っているけれど、どんな病気かわからないという方はたくさんいらっしゃいます。
当院では、歯周病に関してしっかりと知っていただくことが、歯周病治療のファーストステップだと考えており、時間をかけて丁寧に説明させていただいております。
ここではその一部を簡単に説明します。

歯周病とは
歯周病とは、歯肉(歯茎)など歯を支える組織に、歯垢(プラーク)・歯石で生じる細菌で感染を起こし、炎症する症状のことを言います。
初期の兆候としては、歯肉の赤み・出血・腫れがあげられます。この状態を「歯肉炎」と言います。
その後、歯肉の間に溝が広がり、「歯周ポケット」が形成されます。この状態を「歯周炎」と言います。
歯周病は年齢に伴って進行していき、痛み・自覚症状がない場合が多いです。悪化すると、歯が抜ける状態にもなりえます。 現在、歯周病は日本人が歯を失う原因の第1位ともされており、早期発見が非常に重要になってきます。

歯周病治療の流れ
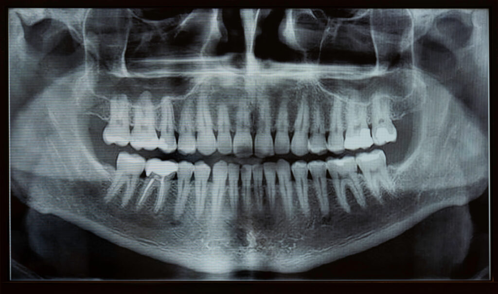
①レントゲン撮影
レントゲン写真を撮ることで、直接目では見ることのできない部分の状況を知ることができます。 歯周病は、歯ぐきの内側の見えない部分で進行して、骨が溶かされ減少する病気です。 そのためレントゲン写真を撮って、歯を支える骨の状態を把握することが必ず必要です。 歯周病が進行すると、歯を支える骨を溶かしてしまうのですが、レントゲン写真にはその骨の高さ等が写りますので、現在の骨の状況を正しく知ることが可能です。 また、歯ぐきの奥の歯石もレントゲン写真には写ります。 歯石が歯ぐきの奥についたままにしていると、歯周病の治療の妨げになります。 もし、レントゲン写真なしで検査をすると、隠れて進行している歯周病を見逃してしまうこともありますので、重要な検査となっています。

②写真撮影
おくちの中の写真を撮って、治療前の歯ぐきの色や腫れ具合や歯石の付き具合を記録します。
歯周病は骨を溶かす病気ですが、それとともに歯ぐきに腫れや赤み等の炎症を起こします。 レントゲン写真では、歯ぐきの中の状態を確認することができますが、実際の歯ぐきの色味や腫れ具合、歯並びや噛み合わせといった情報は確認ができません。
おくちの中の写真を撮ることで、こういった歯周病の状態を記録し、確認することが可能になります。
ご自身では普段見ることの出来ない、上の歯の周りの歯ぐきの状態や歯の裏側なども客観的に見ていただくことができます。
また治療前の状態を記録しておくことで、治療後と比較することができ、普段から気をつけてお手入れしていただきたい部分などをお伝えすることができたり、治療前に歯周病で炎症が起きている部分が治療をすすめるにつれて治ってきているかを後日確認することができます。
一般的な写真とは違い、キチンとした規格に基づき撮影するので、記録として残しておくと、定期健診の時もいつでも比較することが可能です。
歯周病の治療により歯ぐきの状態は毎日本当に少しずつ変化するので、記録しておいた写真を後々見ることで「最初はこんな状態だったの!?」と効果を実感しやすくなるのも、メリットのひとつかと思います。
③ポケット検査
専用の器具を使い、歯ぐきの溝(歯周ポケット)の深さを測ります。 歯周ポケットの深さや、検査時の出血の有無で歯周病の進行度や炎症の有無を知ることができます。 一般的に、健康だとされるポケットの深さは3mm以下とされており、4mm以上になると歯周病だと判断します。 歯周ポケットの深さは深ければ深いほど、歯周病が進行しているということになります。 歯周病のなかにも、軽度のものから重度のものまでさまざまあり、かなり進行してしまうと歯を残すことが難しくなる場合もあるので注意が必要です。

歯と歯ぐきの境目に付着している、歯石や歯周病の原因となるバイオフィルムという汚れを取り除きます。 歯石やバイオフィルムは一度付着してしまうと、ブラッシングではなかなか除去することができません。歯科医院で専用の器具を使って除去する必要があります。
歯石を除去するときには、「手用スケーラー」と「超音波スケーラー」という器具を、必要に応じて使い分けていきます。
歯石を取るさいに丁寧に施術していても出血する場合がありますが、歯ぐきを傷つけているわけではないのでご安心ください。
歯石が沈着している部分の歯ぐきは、炎症を起こしていたり弱っていることが多く、少しの刺激でも出血しやすいのです。また「歯石をガリガリ取り除いて、歯は一緒に削れないの?」と思う方もいらっしゃると思います。歯はとても硬い組織ですから、歯石の除去の器具では簡単には削れませんし、専門の知識を持った歯科衛生士が正しい力加減で行いますので心配ありません。
一度歯石を取ってから今後新たな歯石がつきにくいように、正しいブラッシングの方法をアドバイスします。また歯ブラシのみのケアでは歯と歯の間の汚れは取れませんので歯間ブラシやデンタルフロスを使っていただくために、使い方やあなたに合ったサイズのアドバイスを行います。


